
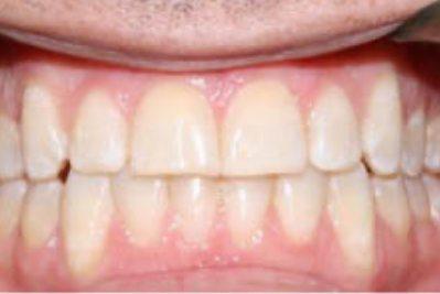
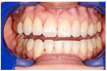
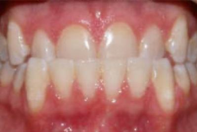
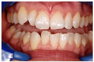
It takes an artist to create a smile that is attractive, natural-looking, and perfectly functional using Invisalign and other cosmetic dentistry procedures, and it’s a discipline that Dr. Partovi has mastered. Over the course of her 30+ year career, she has been a part of countless transformations that have improved how people look on the outside as well as how they feel on the inside. These results are just a small sample of her work, and she can’t wait to show you what she can do for you here at Signature Smiles of Rockville.
About Us Meet Dr. Partovi Meet the Team Tour Our Office Community Involvement Dental Technology View Our Services